Explore our smile gallery to see the beautiful results Dr. Raymond del Castillo has achieved for his patients! We invite you to call Minorca Smiles today at 305-443-4713 for more information about our comprehensive dental services and to schedule your consultation with our skilled dentist in Coral Gables, Florida. We look forward to helping you achieve your smile goals!
Single Central Crown Same Day with CEREC


This patient came to us with a broken front tooth. With the CEREC same day crown system, we were able to reconstruct his tooth in one appointment to match his other front tooth exactly. The patient was ecstatic with the results!
Smile Makeover

This patient came to us missing a front tooth after a failed implant. We fabricated a same day CEREC bridge out of E.MAX to restore his smile. The most incredible thing about this case is how his smile grew immediately after having the new front tooth replaced with the CEREC bridge.
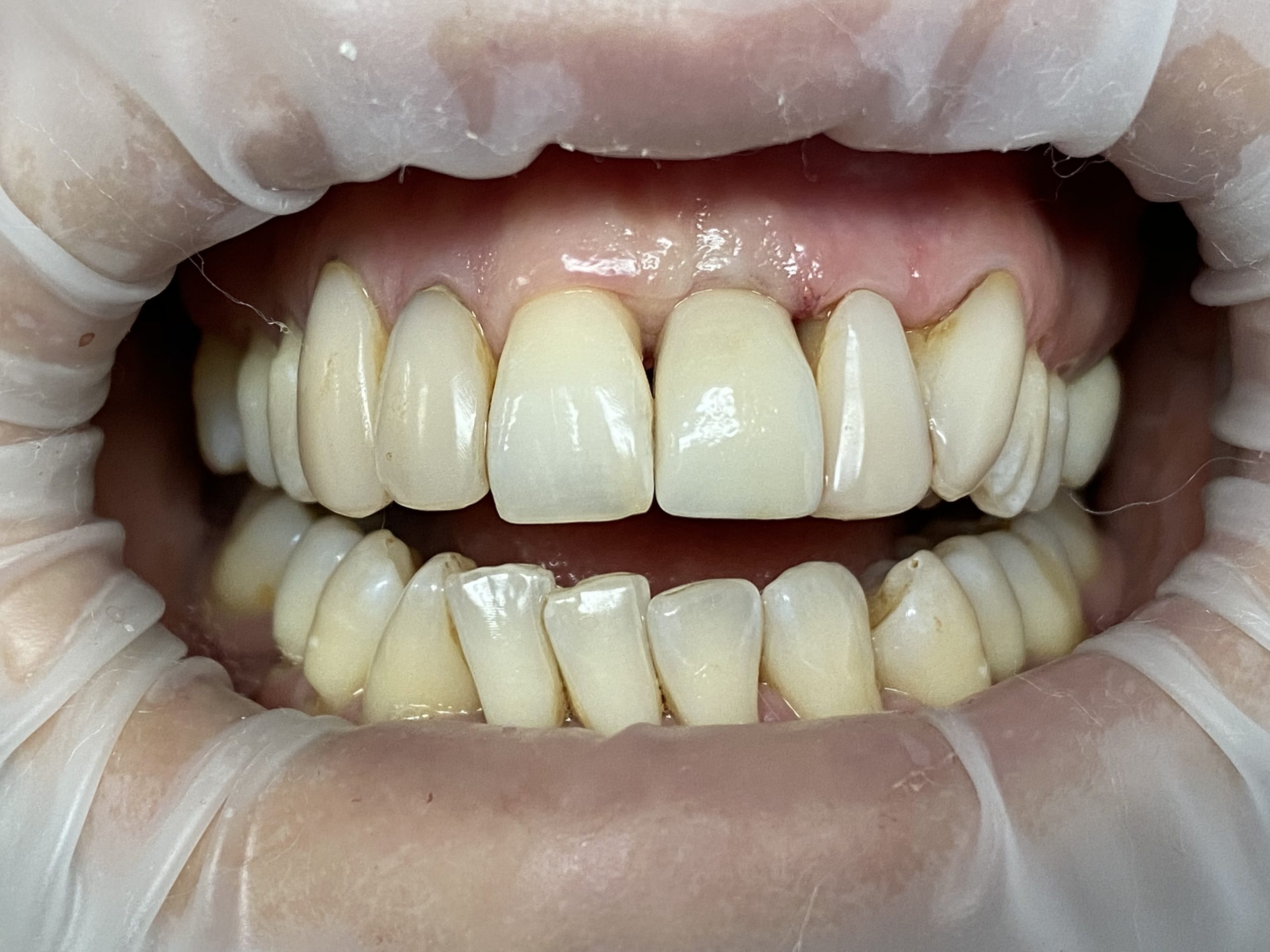
Smile Makeover

This patient came to us with severe cavities on his front teeth. Our goal was to restore and preserve as many teeth as we could. We accomplished this with bridges on his front teeth. This patient really let his emotions flow after we were done and he saw that he had a smile he could be proud of.
Smile Makeover


This patient had numerous broken and decayed front teeth, and she was motivated to improve her smile. We were able to achieve that with a combination of crowns and veneers. She was thrilled with her new smile.
Teeth Whitening

This patient wanted to brighten his smile with in office same day whitening. We were able to accomplish that with ZOOM whitening. We were able to brighten his smile 3-4 shades in about one hour.
CEREC Same day Smile Makeover


This came to us with multiple broken down old veneer that she wanted replaced. With CEREC same day work flow we were able to replace her old veneers with new and improved veneers that matched the color of her natural teeth exceptionally well. The goal is to create a harmonious smile that appears natural, and the patient was thrilled that we achieved that!
Implant Crowns


This patient was born missing his lateral incisors. He had orthodontic treatment that moved his canines into the lateral incisor positions. He came to us at this point, and we placed implants in the canine areas. The implant crowns on his canines blend very nicely with his smile.
Implant Crowns


One of the most difficult things to do in dentistry is replace a single front tooth because if it is off, it is obvious. This patient had a failing root canal on one of her front teeth, so we did just that. We removed the front tooth and replaced it with an implant and crown. The patient was thrilled to see how well the implant crown matched her other front tooth.
Implant Surgery


This patient came to us with severe periodontitis/ gum disease, and he was having a tough time eating with his loose teeth. Due to the advanced gum disease his teeth were hopeless and needed to be removed. We removed his teeth and placed implants to provide a denture that snaps into the implants. With the aid of an implant supported denture the patient was able to eat again without restrictions and we improved his overall quality of life tremendously.
CEREC Same Day Smile Makeover


This patient came in dissatisfied with his smile due to multiple broken front teeth, and an unesthetic large filling between his front tooth and canine that were masking a missing tooth. With CEREC same day crowns, we were able to fix the broken teeth and correct the spacing issues of his missing tooth in one appointment. The patient was thrilled with the improvements to his smile and more incredibly in just one day!
CEREC Same Day Smile Restoration


This patient was dissatisfied with his smile due to multiple broken-down fillings and teeth. With our CEREC system we were able to fix the broken teeth with natural looking E.MAX crowns. The patient was thrilled with the improvements to his smile!
CEREC Same Day Smile Fix


This patient was dissatisfied with his smile due to multiple broken-down fillings and teeth. With our CEREC system we were able to fix the broken teeth with natural looking E.MAX crowns. The patient was thrilled with the improvements to his smile!